写真・ファイル付の情報
2026/04/25
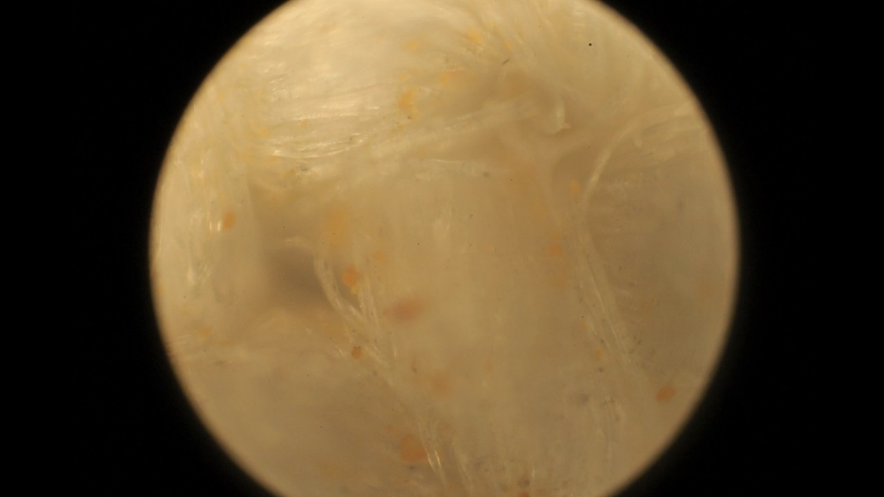
湿式人工汚染布をマイクロスコープで観察
ホーザンのズームレンズと顕微鏡用カメラSwiftcam SC2003、それに4倍のエクステンダーを組み合わせたマイクロスコープで湿式人工汚染布の表面状態を観察。ズームは5倍なので結局20倍撮影と同じですね。カメラのイメージセンサーが200万画素ということもあり、結構よい画像が撮れました。ここに載せているのは実際の画像ファイルを縦横20%縮小にしたもので、現物は5200×3888ピクセルの画像です。なんだか、これまでで一番きれいに撮れたような感じです。黄土色の土と黒点のカーボンブラックが見えますね。
2026/04/23
衛生試験の準備
顕微鏡関連が一段落で、次のターゲットは衛生試験です。必要なのがオートクレーブ(高温高圧蒸気減菌器)とクリーンベンチ(減菌作業ボックス)。オートクレーブは危険性があるので中古は避けて新品をamazonで購入。但し安~い商品なので作動するか不安。本日試してみると、きちんと128℃・0.155MPaまで上がりました。この圧力は大気圧+1.5気圧相当。これでシャーレや器具類等の処理が可能になりました。クリーンベンチはアクリルボックス中にオゾン発生装置を組み合わせて簡易型を準備。後は冷蔵庫を調達する必要がありますが(これまで小型インキュベーターで代用)、シャーレに寒天も届いたのであと少しです。バイオセーフティレベル1の簡単なものしか扱う予定はないですが、ちょっと楽しみ。
2026/04/21
自宅用の顕微鏡
研究室の顕微鏡としては位相差顕微鏡(オリンパス)、金属顕微鏡(ニコン)、落射微分干渉顕微鏡(ニコン)の3台の調整をしているところですが、写真の1台が余ったので自宅用に持ち帰りました。これはメーカーも型番も書いていないもので接眼部がないタイプですが、落射、透過のどちらも使えるもの。光源がハロゲンライトなので色が悪いですが、ちょこっと使うのには便利ですね。きちんと作動してくれました!
2026/04/14
顕微鏡照明を工夫しました
金属顕微鏡の整備中ですが、元のハロゲン光源では色々やってみてもどうしても明るさが不足しています。そこで、顕微鏡用のLEDスポットライトで補助光を足してやるとちょっと改善。ただスポットライトの位置が不安定で実用向きではありません。そこで思いついたのがスポットライトの光源をそのまま顕微鏡光源の代替にするという方法。写真のようにAS3000というLED光源を顕微鏡の光源ボックスの部分においてやると問題解決です。100倍対物レンズ×2倍Extenderで撮影すると0.01mm間隔がくっきり。1µm程度の細菌類ならおそらく観察可能ですね。
2026/04/13
マイクロスコープと顕微鏡写真
ズームレンズや顕微鏡とCanon EOS RPを接続する器具が揃ったので、撮影にトライ。まずはホーザンのズームレンズにカメラを接続した簡易型マイクロスコープ。写真は木綿布の表面を観察したものですが、初回は写ればよいということで。続いて金属顕微鏡の20倍と100倍の対物レンズを使って湿式汚染布を観察した画像。ハロゲンランプの色のため橙色になっていますね。カメラ接続部に2倍~4倍のレンズを付ければ画面いっぱいで撮れそうです。後は、ブルーフィルターを入手して光色を白っぽくし、深度合成のソフトを使って…
2026/04/05
微分干渉顕微鏡を導入
研究室に新たに顕微鏡を導入しました。中古ですが、落射の微分干渉観察が可能とのこと。物体の凸凹を色変化としてとらえることができるとのことで、表面の微細構造を見るのに使えればと思っています。14万円ほどで入手しましたが、さすがに透過型の微分干渉観察用のあれこれは付いていませんでしたが、微分干渉タイプのレンズや、SONYのαシリーズのマウントに接続できるアダプターがついていたのでコスパは十分かな。今後、汚染物の表面観察等で活躍してもらいたいと思っています。
2026/03/09
漂白試験用染色布の準備
放送大学の実験授業で使うための染色布を準備しました。細長く切った木綿布を漂白し、それを染色しました。塩素系漂白剤や酸素系漂白剤の効果を視覚的に確認するためのものですが、事前に放送大学のゼミで、学生さんにどの染料が適しているのかということをテストしてもらっていました。その結果から選んだ直接染料1種と酸性染料1種です。なかなかきれいに染まりましたね。
2026/02/24
カメラ撮影修行中
今後は洗浄関連の現場や実験・試験結果の画像収集が必要だということで、ただいまカメラ撮影の修行中です。自宅の愛猫や庭の草木等はCanon EOS7DにレンズはEF-S15-85mm。レンズを変えずに広角からプチ望遠まで柔軟性がGOOD!本体のどっしり感も自宅で使うなら安定性があり問題なし。そして望遠レンズに慣れるため保土ヶ谷区、旭区、泉区、戸塚区近辺から富士山の撮影にトライ。こちらはSONY α6300にE55-210mm望遠レンズの組み合わせ。撮影スポットを探して歩き回るので小さくて軽いのがいいですね。写真は保土ヶ谷区からで見つけたスポット。電信柱や電線、建物などが入り込まない貴重なスポットです。
2025/12/15
品川区審議会の見学会
ある縁があって私は2011年から品川区廃棄物等減量推進審議会の会長を担当させて頂いています。2年間の審議会の第6期から今回は第13期です。その審議会の中で廃棄物処理関連施設の見学会が組み込まれているのですが、今回は12月8日に粗大ごみの処理場とPETボトル、空き缶、ほか容器リサイクル法関連プラごみの処理場を見学してきました。粗大ごみは初めてかもしれませんが、今期の提案ネタを結構仕入れることができました。粗大ごみはマンパワー頼りで社会システムとしての改善が求められますね。その他の資源ごみは捨て方で資源の品質が大きく変化。それらの点をまた実感できました。
2025/11/21
洗浄に関するシンポジウムに参加してきました
11月17日-18日に大阪科学技術センターにて洗浄に関するシンポジウムがあり、参加してきました。写真は発表の場面(幹事の方に撮影していただいたもの)、会場の建物、そして御堂筋。もう少し暗くなるとイルミネーションがきれいなんでしょうが、新幹線の時間もあり速攻で帰宅。




















